Demand for minimally invasive treatments continues to rise around the world. Interventional radiology (IR) in particular is indicated for a broad range of conditions and has numerous advantages over more traditional surgical options, often significantly decreasing associated morbidity and mortality. Examples include image guided abscess drainage, nephrostomy and biliary tube placement, uterine fibroid embolization, and embolization in the setting of trauma, GI bleed, or postpartum hemorrhage. However, many low income countries have limited or complete lack of IR services. According to the WHO over 4 billion people globally lack access to diagnostic imaging, with likely more than 5 billion lacking access to IR. As of 2017, there was not a single interventional radiologist in Tanzania, leaving a population equivalent to that of California and New York combined without access to a broad range of life-saving treatments. Over the past four years, the “Tanzania Interventional Radiology Initiative” has initiated East Africa’s first IR training program, training the first generation of interventional radiologists in the country. Africa’s first Master of Science in IR curriculum at Muhimbili University in Dar es Salaam was officially announced in October 2019 ( https://medicine.yale.edu/news-article/yales-tanzania-interventional-radiology-initiative-approved-for-msc-program/ ), which gives testament to the rapid progression of the training program. An overview of the program was published in the Journal of Vascular and Interventional Radiology in 2019 ( https://www.jvir.org/article/S1051-0443(19)30687-6/pdf ). In September 2021, the first class of three fellows graduated, which was followed by graduation of 7 fellows in 2022. As a result, a new program has been started in Uganda.
While this program most immediately serves the 60 million people living in Tanzania, training IR physicians locally will have regional impact. One of the first IR fellows who recently graduated from the program in Tanzania is from Rwanda, and returned there as the first IR physician in the country. He began the process of expanding these efforts there. Other graduates have started training programs in Nigeria and Uganda.
I believe that expanding the many obvious benefits IR already provides to patients in high income nations can be quickly expanded to billions of people around the world in low income nations by training young physicians locally. IR provides a broad range of life-saving procedures and can have an immediate impact, as has been demonstrated in Tanzania over the past several years. I want to support and expand these efforts and contribute to building IR services in Africa, potentially reaching over one billion people who currently have no access to these important treatments. I traveled on a mission to Tanzania in October 2023 and introduced spine interventions to treat pain caused by spine fractures and percutaneous image guided bone biopsies. In my return visit I would like to expand training in those techniques and also provide education on radiation safety during procedures. The program is also interested in starting stroke interventions, in which I also have expertise.










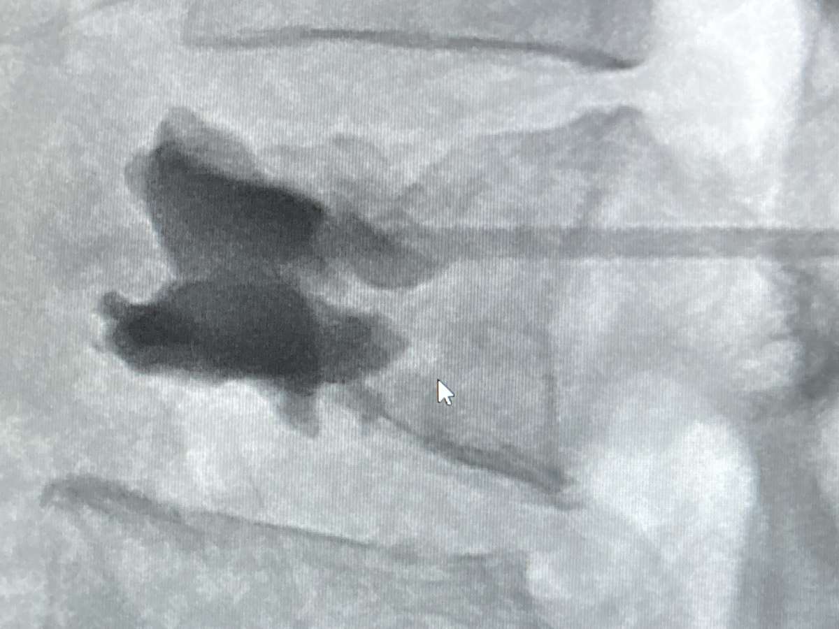
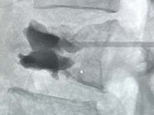
The main goal of the trip was to teach the technique of vertebroplasty as treatment for painful spine compression fractures. We treated 3 patients, all of whom became pain free, after suffering from months of severe pain. The Interventional Radiology team was enthusiastic learning a new technique, and has since treated 5 more patients after I left, under the guidance of another proctor, all of whom had pain relief. We are looking at setting up an audiovisual link so that the Tanzania team can watch me do cases and continue to learn with the goal of having the Tanzania team become fully independent providing this care. It may also be possible to create a formal teaching relationship between my hospital in the US and another major Tanzanian hospital in the capital city of Dodoma.