Currently in Santiago, Dominican Republic, there exists a medical mission equipped to evaluate patients and perform outpatient surgery. This facility is called ILAC (Institute for Latin American Concern). One week annually, volunteers from across the US assemble at ILAC to evaluate patients and perform outpatient orthopedic surgical procedures. Indigent people from the surrounding area and especially from the surrounding impoverished villages are screened for orthopedic conditions and, where indicated, undergo outpatient orthopedic surgery. The volunteer medical personnel provide all of the necessary surgical supplies including sterile surgical packs, dressings, medication, IV solutions, orthopedic implants and power equipment. Additionally, we are able to teach the local Dominican orthopedic surgical residents about treating orthopedic conditions and surgical procedures. We can therefore make not only an immediate impact in treating the indigent patient population, but we can also provide for future care of orthopedic patients through the instruction of the orthopedic residents.
We expect to provide orthopedic medical care to needy Dominican patients who would otherwise be unable to obtain this level of treatment. By assisting in training the orthopedic surgical residents we are able to further broaden the availability of orthopedic services moving forward in this developing country.
A great number of people have been treated throughout the years at this ILAC facility for a variety of orthopedic conditions. Many people will return the following year to demonstrate how well they have done after their surgery and how their ability to receive treatment has favorably impacted their lives. Additionally, this past year, there was a reunion of many of the current and previous orthopedic residents that we had the opportunity to teach. Many of them had proceeded to complete a variety of orthopedic fellowships and then start a practice where they now provide orthopedic care to the underserved throughout the area. They were truly appreciative for the guidance they received through the ILAC experience.
























Hand Surgery in the Dominican Republic
This year I had the opportunity to travel to the Dominican Republic for a medical mission trip. ILAC (Institute for Latin American Concern) is a Creighton University sponsored mission facility in Santiago, Dominican Republic. This facility has a small outpatient clinic and functional capabilities to run three outpatient operating rooms. One week out of every year, an Orthopedic Team is assembled, staffed from individuals located throughout the US, to perform outpatient orthopedic surgical procedures on the indigent population of the D.R. Our team includes Orthopedic Surgeons, Anesthesiologists, sterilizer and operating room staff, as well as pre-op and post-op nursing staff. We bring all of our own supplies, drugs, implants, power tools, casting equipment, etc.
Our week begins by renewing old acquaintances, setting up operating rooms and triaging patients for surgery (Image 1). Patients are sent from the surrounding area, mostly from small villages that do not normally have access to orthopedic care or who cannot afford it. I am responsible for taking care of patients with hand and upper extremity problems. We see quite a variety of conditions including both adult and pediatric patients, congenital differences, fractures, fracture malunions, nerve palsies and extremity tumors. Theses problems are frequently made more challenging due to a significant delay in receiving treatment, initial mismanagement of a problem, and also the lack of resources for obtaining post-operative care such as physical and occupational therapy.
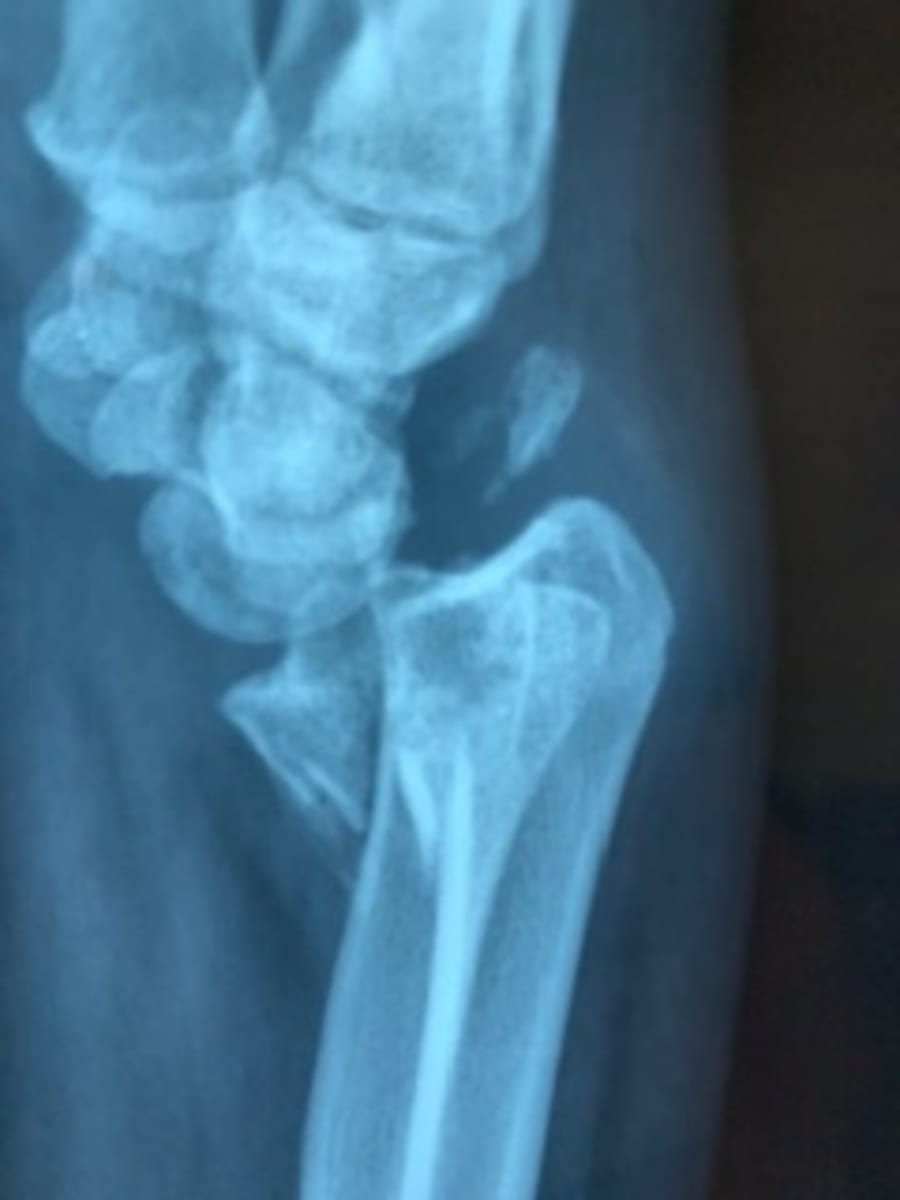
A few examples of the patients and conditions we treated are now presented. Images 2-4 are of an 8 year old boy with symbrachydactyly. He required syndactyly release of the first web space and z-plasty of the small finger. Images 5-6 are of a patient with a severe wrist flexion contracture due to longstanding neuromuscular disorder. Image 6 is an intraoperative photo of his fused wrist. Images 7-8 are of a patient with a benign bone tumor. Images 9-11 demonstrate treatment of a patient with a distal radius fracture. In the US, this would be fairly easily treated with early open reduction and internal fixation. This fracture was made more challenging in that it was eight months old. On rare occasions, we are also able to treat acute fractures.
The Dominican experience is further heightened by our opportunity to work with the Dominican Orthopedic Residents (Image 12). They are a fine group of young men and women who are eager to learn and also share their experiences with orthopedic conditions. Most of them will continue their training in an Orthopedic Fellowship and then return to Santiago to help care for the orthopedic patients in the area.
Finally, I would like to thank the Dox Foundation for their generous grant supporting our mission effort. I am so grateful to have been chosen to participate in this program. The generosity of the Dox Foundation makes not only a difference in the lives of the Dominican people who we are able to treat, but also life changing experiences for the American volunteers who participate in this annual mission.